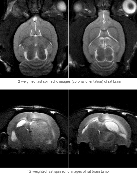
Features Overview
NOVAplus are 7T-9.4T preclinical MRI systems using the world leading-edge magnet and console technologies configured to meet your requirements and demands in the preclinical studies. The usage of active-shielding technology on NOVAplus largely reduces stray field in a small footprint size and hence minimizes the potential hazards to the surrounding environment. Meanwhile, NOVAplus employs the superconducting shims to precisely correct for several orders of field inhomogeneity and superior image quality can be obtained. The magnets on NOVAplus are all zero boil-off systems which operate with a cryocooler system to give nominally zero helium loss. When compared to a conventional two cryogen system, the zero boil-off system greatly reduces helium consumption, hence reducing the operating costs of the users. The new design on magnets largely reduces the size of NOVAplus systems, hence showing compact shape, less weight, and being compatible with most installation sites. Currently there are two bore sizes of 160mm, 210mm and 310mm available for NOVAplus MRI. These two series can be used to scan a wide range of animal species, for example mice, rat, guinea pig, marmoset, rabbit and so on.
NOVAplus uses the latest technology on its gradient coil development and the high performance gradients can address the most challenging applications on animal studies. The features include the high duty cycle for faster imaging, stronger gradient strength for higher image resolution, and superior gradient linearity for less distortion. The good performance of room-temperature shims further corrects the field inhomogeneity on the sample region ensuring high-quality images at high field magnet.
We also provide a complete range of RF coils for different purposes of image scans. They are volume coils, surface coils, phase-arrayed coils, dual-tuned coils, and high-temperature superconducting coils, which can be designed custom-made as transmit or receiver modes and available for various nucleus (1H, 31P, 13C, 23Na, 19F, etc.). High-temperature superconducting coil is cooled with liquid nitrogen (77K) and the SNR is increased by a factor of 2~5 compared with an equivalent copper coil. All RF coils have the highest level of RF homogeneity and stability, which is vital to effective imaging, while maintaining excellent signal-to-noise ratio.
NOVAplus has a whole range of MRI pulse sequences which are constantly updated and enhanced. Those sequences are fully parameterized and optimized for small rodents in vivo for efficient and reliable imaging. MRI accessories specially designed for animal imaging, like animal positions system, are also provided.
Advanced Pharmaceutical Applications
